时尚生活与潮流世界,引领你的时尚生活之旅
改善眼部皱纹的方法,如何减少眼部皱纹

改善眼部皱纹的方法,如何减少眼部皱纹

百科 288℃ 0
使用眼霜对眼部补水,按摩眼部周围肌肤,蜂蜜蛋清混合敷眼,黄瓜蛋清混合敷眼,棉片浸冰镇牛奶敷眼,茶叶水敷眼。方法一 眼霜补水分消除眼角皱纹要补充眼部水分,必须供给足够的养分及补充失去的水分,养成用眼霜的好习惯,眼霜是护肤的常备武器。方法二 按摩通过拍打按压眼周肌肤可以有效的缓解眼部老化问题,对去除初期的眼部细纹也很有用。由于压力、血液循环不畅、干燥而形成的眼周肌肤问题,可以通过按压来改善。...
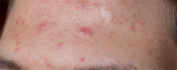
脸上螨虫粉刺应该注意什么,脸上螨虫粉刺怎么办

脸上螨虫粉刺应该注意什么,脸上螨虫粉刺怎么办

百科 260℃ 0
正确洗脸,日常清洁衣物和床上用品,保持室内通风,使用除螨洁面品,合理的饮食搭配。洁面,螨虫是因细菌灰尘的影响而大量滋生,所以时刻要注意面部的清洁卫生。洗脸不是简单地用自来水冲,而应遵循科学的方法:先用温水打湿面部,使用具有除螨功效的洗面奶(切忌用手挤压);然后用指腹由下而上轻画圆圈,刺激皮肤以清除表层的杂质及多余油脂;温水冲洗干净后,用柔软的毛巾轻轻拍打面部,吸干多余水分。每天早晚洗两次...
乳木果油擦脸有什么用,乳木果油擦脸的功效

乳木果油擦脸有什么用,乳木果油擦脸的功效

百科 443℃ 0
乳木果油擦脸,能够消除疤痕,麻点,凹凸不平,暗疮,青春痘、防止皮肤老化、减轻色素沉着,淡化斑点,祛除黑眼圈、重新保湿干燥的皮肤。乳木果油擦脸的功效1、修复功能:消除疤痕,麻点,凹凸不平,暗疮,青春痘乳木果油具有强化肌肤组织再生的功能!对因痤疮、手术、烧伤、水痘、伤口和切口导致的皮肤损伤疤痕都有效。它还能够溶解黑头,收缩毛孔, 消除红肿红斑,对凹凸不平的肌肤有特效。乳木果油强有力的细胞再生...
显腿长的平底鞋穿法,平底鞋搭配技巧

显腿长的平底鞋穿法,平底鞋搭配技巧

百科 268℃ 0
帆布鞋搭配短裙或者短裤,小白鞋或者凉鞋搭配中长裙,单鞋或者尖头鞋搭配九分裤。帆布鞋+短裙/短裤穿平底鞋想要穿出好的身材比例,搭配短裙或短裤就一定是明智之选了,因为裙子或裤子越短,露出的腿部越多,视觉上看起来就会越高一些。选择一双高帮帆布鞋,配上一条百褶短裤或牛仔短裤,绝对满满的学院风,尽显穿着者的自信阳光与青春靓丽,非常适合女生在校园里穿着,走到哪都带着一股青春与活力。小白鞋/凉鞋+中长...
染发药水的好坏有区别吗,染发药水有好坏区别吗

染发药水的好坏有区别吗,染发药水有好坏区别吗

百科 380℃ 0
有区别。首先好的染发药水它的药水味道淡不刺鼻,属于比较自然的药水味道。而不好的药水一般会有一股浓浓的刺鼻味道,而且在使用之后会持续很久,不容易散去。根据味道可以分辨染发药水的优劣。其次好的药水对头皮的刺激比较小,成分安全。使用后头皮会比较舒服,颜色也比较接近目标色,色差不会很明显,同时它的饱和度和色彩更纯。而不好的药水不仅会刺激头皮,会伴随着痒以及起头屑等问题,同时无论是色泽还是饱和度,...
 化妆可以不用散粉定妆吗,没有散粉怎么定妆?

化妆可以不用散粉定妆吗,没有散粉怎么定妆?

百科 378℃ 0
没有散粉可以用定妆喷雾、粉饼、蜜粉来代替,这些都具有定妆功效,能够让妆容的持久度更高。散粉是专为容易出油的女性朋友们发明的,防止油腻皮肤过分光滑或者过粘,显示出无光泽但是透明的肤色,减少汗液和皮脂,增强化妆品的持续性。挑选散粉的时候,用粉扑把散粉擦在手背上,如果出现浮粉的现象,说明它与肌肤的贴合度不高,定妆效果不是很好。 也可用拇指和食指的指腹取一点儿散粉,捏一捏,感觉一下,如果粉在...
铂金和白金一样么,铂金白金有什么区别

铂金和白金一样么,铂金白金有什么区别

百科 311℃ 0
铂金跟白金没有区别,二者是同一种东西。铂金是一种天然的白色贵金属。国家规定只有铂金含量在850‰以上的首饰才能被称为铂金首饰,并必须带有Pt标志。铂金的白色光泽天然、纯净,且具有稳定的物理性质和化学性质,不仅被广泛用于工业方面,还常被制作成首饰。铂金(Platinum,简称Pt),是一种天然形成的白色贵重金属。铂金早在公元前700年就被人类发现,在人类使用铂金的2000多年历史中,它一直...
100silk应该是什么面料,100silk是什么面料

100silk应该是什么面料,100silk是什么面料

百科 318℃ 0
真丝面料。真丝就是蚕丝,是用蚕丝编制而成的纺织品。真丝的光泽外表来自于蚕丝三棱镜般的纤维结构,这令布料能够以不同的角度折射入射光,并将光线散射出去。在中国,真丝一词也指代人造的、具有与天然丝绸一样光泽的纺织品。蚕丝纤维是唯一得到实际应用的天然长丝纤维,由蚕改粘液凝固而成。蚕丝纤维因蚕的食性不同分成多种,其中有食桑叶形成的桑蚕丝纤维、食柞树叶形成的柞蚕丝纤维以及食木薯叶、马桑叶、蓖麻叶形成...
 防晒的作用和重要性有哪些,防晒的作用和重要性

防晒的作用和重要性有哪些,防晒的作用和重要性

百科 272℃ 0
防晒的作用是防止肌肤受强紫外线和太阳光的照射,避免肌肤晒黑老化。认真涂防晒可以起到保护肌肤的作用,而且无论是素颜还是化妆,无论是夏季还是冬季,都应该做好防晒。防晒是指为达到防止肌肤被晒黑、晒伤等目的而采取一些方法来阻隔或吸收紫外线。可以采用涂抹防晒产品、使用防晒衣等物品来起到防晒效果。在经过日光照晒后,很容易导致肌肤泛红、起皮。因为肌肤对日光的耐受性差,长时间受强烈的日光照射后就会导致肌...
芦荟胶面膜可以敷多久,芦荟胶做面膜多久洗掉

芦荟胶面膜可以敷多久,芦荟胶做面膜多久洗掉

百科 316℃ 0
芦荟胶做面膜是不限时长的,如果是在晚上使用的话,还可以直接当做睡眠面膜,涂抹后让面部自然吸收,第二天早起后再洗。也可以涂抹后让脸部吸收后,感觉到干的时候清洗,若要进行后续护肤或上妆的话,还可以在护肤步骤或上妆前洗掉。1、当做睡眠面膜芦荟胶是可以当做睡眠面膜过夜的,因为夜间肌肤吸收养分的效果更好,而芦荟胶长时间停留在脸上也不会造成肌肤负担。所以,晚上将芦荟胶均匀涂抹在脸上后就可以入睡了,让...